Discover Lasting Results With Metro Dental

Explore our gallery of successful smile journeys. If you think cosmetic dentistry in Melbourne might be a good fit for your individual needs, book your consult with Dr Jennifer Nguyen today.

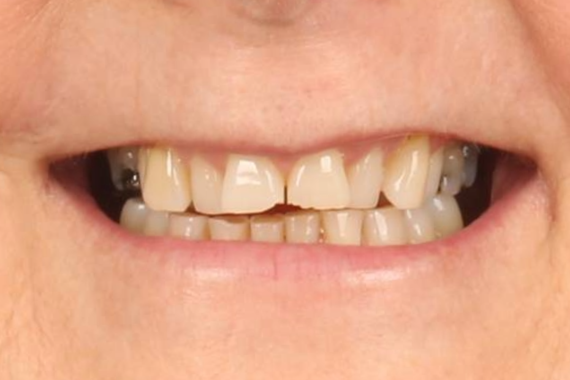
Metro Dental Invisalign
Metro Dental Invisalign

Invisalign + Veneers

Treatment completed by

Dr. Jennifer Nguyen

AHPRA #DEN0000995615

Metro Dental Invisalign
Metro Dental Invisalign

Invisalign + Veneers

Treatment completed by

Dr. Jennifer Nguyen

AHPRA #DEN0000995615

Metro Dental Invisalign
Metro Dental Invisalign

Invisalign + Veneers

Treatment completed by

Dr. Jennifer Nguyen

AHPRA #DEN0000995615

Metro Dental Invisalign
Metro Dental Invisalign

Invisalign + Veneers

Treatment completed by

Dr. Jennifer Nguyen

AHPRA #DEN0000995615

Metro Dental Invisalign
Metro Dental Invisalign

Invisalign + Veneers

Treatment completed by

Dr. Jennifer Nguyen

AHPRA #DEN0000995615

Book Your Cosmetic Dental Consult with Dr. Jennifer Nguyen Today

Call (03) 9671 4746 or book online now.

Smile Gallery Disclaimer

All clinical photographs featured on this website are of actual patients treated by our practitioners. Each case is unique, and treatment outcomes vary depending on individual circumstances. These images are presented for illustrative purposes only and are not a guarantee, assurance, or prediction of the results achievable for any particular patient. Individual results may differ.

Before proceeding with any dental treatment, you should seek an independent opinion from an appropriately qualified health practitioner. Photographs have been used with patient consent.